Hund hat sich verschluckt
Was tun, wenn Ihr Hund einen Fremdkцrper verschluckt?
Es ist nicht ungewцhnlich fьr Hunde, neugierig zu werden und gelegentlich zu versuchen, etwas zu fressen, das nicht fьr sie gedacht ist. Eine schnelle Suche im Internet nach "Dinge, die mein Hund gefressen hat" offenbart daher auch eine Fьlle an ungewцhnlichen, bizarren und manchmal sogar schrecklichen Dingen, die von Hunde bereits einmal gefressen wurden.
Selbst der best umsorgteste Hund kann Dinge verschlucken, die nicht zum Fressen und Verschlucken bestimmt sind - manchmal sogar ohne das Wissen seines Besitzers. Aber was passiert, wenn Ihr Hund etwas frisst, das er nicht fressen darf, und woran erkennen Sie, dass Ihr Hund etwas Ungeeignetes gefressen hat? Sollten Sie ihn sofort zum Tierarzt bringen oder abwarten, ob Ihr Hund das verschluckte Objekt von selbst wieder ausscheidet? Lesen Sie weiter, um Antworten auf diese Fragen zu finden…
Wenn Ihr Hund Anzeichen eines dieser Symptome zeigt, kцnnte dies auf das Verschlucken eines Fremdkцrpers oder von etwas Toxischem hindeuten:
- Erbrechen oder wьrgen
- Lethargie
- Appetitlosigkeit
- Schmerzen im Bauchbereich
- Verhaltensauffдlligkeiten
- Дnderungen des Stuhlgangs - Verstopfung, Durchfall
Wenn Ihr Hund etwas Giftiges oder Ungewцhnliches verschluckt hat, sollten Sie ihn sofort zum Tierarzt bringen. Nur ein ausgebildeter Tierarzt kann die Situation sofort richtig einschдtzen und ьber die weiteren Vorgehensweisen entscheiden. Warten Sie nicht darauf, dass Ihr Hund das Objekt von allein wieder ausscheidet, und versuchen Sie nicht Ihren Hund zum Erbrechen zu animieren. Beides kann bei Ihrem Hund im schlimmsten Fall zu schweren Schдdigungen fьhren.
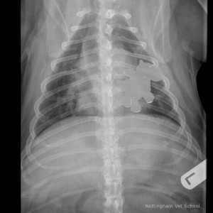
Ihr Tierarzt wird Ihren Hund in der Regel rцntgen, um festzustellen, was Ihr Hund verschluckt hat und wie groЯ das verschluckte Objekt ist. AnschlieЯend entscheidet er ьber eine geeignete Behandlungsmцglichkeit. Wдhrend einige Objekte ьber den Stuhl oder durch induziertes Erbrechen ausgeschieden werden kцnnen, mьssen andere ьber ein endoskopisches Verfahren entfernt werden. Hierbei wird eine lange Sonde durch die Kehle des Hundes gefьhrt, um den Fremdkцrper aus dem Magen entfernen zu kцnnen. Auch wenn dieser Eingriff unter Betдubung erfolgt, handelt es sich hierbei um ein nicht-invasives Verfahren. Dieses stellt fьr den Hund ein geringeres Risiko mit minimaler Erholungszeit dar.
Wenn Ihr Hund einen Fremdkцrper verschluckt hat, spielt Zeit eine wichtige Rolle. Gelangt der Fremdkцrper erst vom Magen in den Darm, kцnnen umfangreichere invasive chirurgische MaЯnahmen notwendig werden, die mit einem hцheren Komplikationsrisiko einhergehen.
Wie verhindern Sie also, dass Ihr Hund fьr ihn ungeeignete Objekte frisst? Ergreifen Sie vorbeugende MaЯnahmen, damit erst gar keine Fremdkцrper aus dem Rachen- oder Bauchraum Ihres Hundes entfernt werden mьssen. Wenn Ihr Hund beispielsweise ein Kauspielzeug verschluckt hat, verzichten Sie in Zukunft auf den Kauf weiterer solcher Spielzeuge. Halten Sie auЯerdem Tьren zu Zimmern und Garagen geschlossen, und machen Sie Ihr Haus so weit wie mцglich "hundesicher", um Versuchungen fьr den Hund zu vermeiden.
NOTFALL-CHECKLISTE : Verschluckte Fremdkörper
Hinweise zu Fremdkörper in anderen Körperbereichen werden in dieser Dokumentation unten unter Punkt F. behandelt
A. AUSGANGSLAGE
- der Hund hat einen Fremkörper verschluckt hat
- dies wurde direkt beobachtet
- oder es muss indirekt darauf geschlossen werden, weil zum Beispiel eine herunter gefallene Batterie, etc. fehlt
- der vermisste Fremdkörper kann sich im Rachenbereich, den Atemwegen, der Speiseröhre, dem Magen oder Darmbereich befinden
- auch ein an sich harmlos abzunagender Knochen, kann zu gross verschluckt - z.B. aus Gier, Futterneid, etc. - akute Lebensgefahr durch Ersticken bedeuten
- die Atemwege können blockiert werden
- der Fremdkörper kann den Darm perforieren
- wurde Spielzeug verschluckt, können sich Gifte und insbesondere die Weichmacher aus dem Kunstoff im Magen lösen
- es kann zu einer Entzündung des Darms bis zu dessen Absterben kommen
A.1 Beispiele für verschluckte Gegenstände - diese Dinge haben Hunde tatsächlich gefressen:
- der Hund hat ein Holzstück, Stein oder großen Knochen am Stück verschluckt
- Holzsplitter oder Knochenteile im Kiefer und Rachenbereich
- Spielzeugball im Rachen (Erstickungsgefahr!)
- verschluckte Insekten (Erstickungsgefahr bei einem Wespenstich in den Rachen!)
- Batterien im Magen und Darm
- Teelöffel
- Nylonstrümpfe, Seidenkniestrümpfe, Handschuhe gefressen
- Nagel, Schraube, Mutter
- Büroklammer, Reißzwecke
- Angelhaken mit Angelschnur, Angelköder
- Schnur, ein Stück Seil, oder Kabel verschlungen
- Hund hat Hunde-Spielzeug oder Tennis-Ball verschluckt
- Plastik-Spielzeug hinunter geschluckt
- Meisenknödel samt Netz (Plastik-Kunststoff)
- Teelicht (Kerzenwachs mit Aluschale)
- Magnete (z.B. zur Fixierung an Magnettafeln)
- Teppich (Gewebeteile)
- wenn der Hund einen zu grossern Knochen verschluckt hat, kann es anschliessend zu sichbaren Beschwerden kommen, der Knochen kann wörtlich im Hals des Hundes stecken bleiben (u.a. Würgen, Beschwerden beim Atmen, beim Schlucken, es droht Erstickungsgefahr)
- Kronkorken
- mitgefressenes Stanniol-Papier bzw. Silber-Papier von Süßigkeiten
- mitverschluckte Befestigungsdrähte der schokoladehaltigen Weihnachtsdeko direkt vom Weihnachtsbaum
Info: Unsere Hunde fressen gerne hin und wieder mal etwas Gras. Das ist normal - doch besondere Vorsicht gilt im Bereich intensiv genutzter Agrarflächen, zum Beispiel am Rand von Weizen- oder Maisfelder. Dünger, Herbizide, Insektizide, Fungizide, etc. sind gerade am Feldrand oft stark konzentriert, weil hier der Bauer beim Ausbringen der Agrarchemie mit seinem Traktor anhält oder wendet. Lassen Sie hier den Hund kein Gras fressen und schon gar nicht aus Pfützen trinken. Weitere Details siehe auch unter -> Gras fressen
A.2 Anschläge mit präparierten Glasköder und Rasierklingen-Köder
- ähnlich wie bei Rattengift legen Hundehasser präparierte Glasköder und Rasierklingen-Köder aus
- die Verletzungen im Bereich der Speiseröhre, Magen und Darm des Hundes können schnell lebensgefährlich werden und sind ein tiermedizinischer Notfall
- um andere Hundehalter darauf hinzuweisen sind unbedingt die Behörden (Polizei bzw. Ordnungsamt) einzuschalten und das Gebiet durch Warnschilder zu markieren
- zur Vorgehensweise finden Sie hier weitere Informationen: Giftalarm
A.3 wenn das Verschlucken des Fremdkörpers nicht beobachtet wurde
- und auch nichts Auffälliges fehlt
- aber der Hund sich eigenartig verhält
- prüfen ob Spielzeug fehlt - oder Teile (!) davon abgebissen wurden und fehlen
- prüfen ob ein Kleidungsstück fehlt (Nylonstrümpfe, Kniestrümpfe, Seidenstrümpfe, Socken, etc.)
- prüfen Teppich (-Teile) angefressen sind
- prüfen ob schokoladehaltige Ostereier und Osterhasen - oder Weihnachtsdeko direkt vom Weihnachtsbaum fehlen, der Hund könnte Stanniolpapier und Befestigungsdrähte verschluckt haben - dabei wegen der Schokolade auch auf die zusätzlichen Vergiftungssymptome durch Theobromin achten
B. VORBEREITUNG UND SELBSTSCHUTZ
- beruhigend auf den Hund einwirken
- auch beruhigend auf die anderen Personen einreden, Panik hilft niemandem !
- unüberlegte Maßnahmen von anderen Personen vermeiden
- Hund anleinen bzw. festbinden (der Hund könnte im Schock davon laufen, z.B. in ein Auto), Details siehe -> Sichern und Beruhigen
- zum Selbstschutz: nur wenn der Hund sehr aktiv scheint, Maulkorb oder Maulschlinge anlegen, Details siehe -> Maulschlinge
- den Hund in die stabile Seitenlage bringen, Details siehe -> stabile Seitenlage
C. SYMPTOME
Die folgenden Symptome können verschieden stark ausgeprägt sein, je nachdem was verschluckt wurde und wie tief sich der Fremdkörper bereits im Verdauungsbereich befindet:
Wenn der Fremdköper im Bereich der Atemwege, Maul- oder Rachenbereich ist:
- der Hund würgt
und versucht sich zu erbrechen
- er reibt sich ständig an der Schnauze
- leeres Schlucken
- Schluckbeschwerden
- Maul steht offen
- Niesen oder Husten
- Atemgeräusche, pfeifende Töne aus dem Rachen
- Atemnot
- die Atemwege müssen frei sein -> Atemwege prüfen
- wenn die Atemwege vollständig blockiert sind und der Erstickungstod droht, muss sofort gehandelt werden, siehe -> Heimlich-Rettungsgriff
Wenn der Fremdköper bereits im Magen- oder Darmbereich ist:
- Erbrechen nach einer Futteraufnahme
- Verweigerung der Futter- und Wasseraufnahme
- Mattigkeit
- kein Absetzen von Kot mehr
- Schleim bleibt am Thermometer nach dem Fieber-messen (rektal) haften
D. NOTFALLMASSNAHMEN
- wenn noch möglich, durch schnelles Eingreifen den Fremdkörper aus dem Mund-Bereich manuell entfernen, bevor der Hund ihn schluckt
D.1 wenn ein Gegenstand bereits im Magen / Darm-Bereich ist
- wenn der Fremdkörper bereits tief verschluckt ist, kann nur noch der Tierarzt helfen
- es drohen je nach Fremdkörper Magen-Darm-Verletzungen bis zum Darmverschluss
- WICHTIG: Den Hund nicht selbst zum Erbrechen bringen, da dies zu einer Erstickungsgefahr führt!
- WICHTIG: wird beim Gassigehen nach dem Kot-Absetzen am After ein Stück verschluckter Schnur oder ähnliches sichtbar, auf keinen Fall daran ziehen. Die Schnur kann weit in den Darm reichen und beim Rausziehen schwerste Darmverletzungen verursachen
- wenn der Fremdkörper den Rachenbereich sicher passiert hat und wenn keine Beschwerden erkennbar sind, kann man evtl. nach Absprache mit dem Tierarzt auch mit Hausmittel helfen. Man kann dem Hund Sauerkraut geben. Sauerkraut kann den Fremdkörper einhüllen und damit helfen Darmverletzungen zu vermeiden. Ein scharfer, spitzer Gegenstand - der trocken und allein durch den Darm rutscht, kann auf jeden Fall gefährlich werden. Das Sauerkraut soll sich um die gefährlichen Teile legen und dafür sorgen dass es besser durch rutscht und dann besser hinten raus kommt.
- Manche Hunde mögen die Säure im Sauerkraut nicht: deshalb vorher das Sauerkraut gut wässern oder unter dem Wasserhahn zum Beispiel in einem Abtropfsieb gut ausspülen
- weitere Infos zu Hausmittel finden Sie auch hier unter -> Hausmittel Sauerkraut
- eine Variante dazu: Sauerkraut mit Sahne,Schlagsahne oder Joghurt mögen (fast) alle Hunde
- den Stuhlgang genau kontrollieren, ob der 'vermisste' Gegenstand dabei ist
- wenn der vermisste Gegenstand nach spätesten 24 bis 48 Stunden nicht wieder auftaucht, den Tierarzt informieren. Auch wenn der Hund keine Beschwerden zeigt!
D.2 wenn der Gegenstand im Bereich der Atemwege ist
- in leichten Fällen: das Husten des Hundes durch Klopfen zwischen die Schulterblätter unterstützen
- wenn der Hund zu ersticken droht, an den Hinterfüssen hochheben bei kleineren Hunden und an der Brust bei grösseren - und versuchen den Fremdkörper heraus zu schütteln
- Atemwege blockiert oder teilweise blockiert -> Atemwege freimachen
- wenn ein Fremdkörper im Atemweg nicht beseitigt werden konnte, kann es sein dass es zum Atemstillstand kommt
- der Hund ist bewusstlos
- der Fremdkörper muss nun rigoros entfernt werden
- zum Beispiel mit einem Holzlineal oder Schraubenzieher
- falls es sich eventuell um ein verschlucktes Insekt und einen Insektenstich in den Rachen handelt, muss ggf. das verschluckte und im Rachen hängen gebliebenes Insekt entfernt werden, Details siehe -> Insektenstich
- WICHTIG: wenn die Atmung ausgesetzt hat, sofort weiter mit NOTFALL-CHECKLISTE -> Atemstillstand
E. TRANSPORT ZUM TIERARZT
- wenn möglich einen Helfer organisieren, herbeirufen oder herwinken, auch ggf. auch laut um Hilfe rufen
- wenn das Transportfahrzeug in der Sonne stand, gut durchlüften bevor man den Hund hinein bringt
- vorab mit Tierarzt telefonisch Kontakt aufnehmen
- sicherstellen daß die Praxis oder Klinik geöffnet hat
- wenn der Hund gehen kann, sollte man ihn lassen
- die Fahrt zum Tierarzt sollte schnell wie möglich erfolgen, dabei darf man aber keine unnötigen Risiken auf sich nehmen sein
- wenn man selbst zu aufgeregt zum Autofahren ist sollte man jemand Anderes bitten dies zu übernehmen
- weitere Details zum Transport des verletzten Hundes, siehe -> Transport
F. FREMDKÖRPER IN ANDEREN KÖRPERBEREICHEN
F.1 Fremdkörper die von aussen in den Körper eingedrungen sind
- Beispiel: ein Holzspiess in den Brustkorb
- Fremdkörper dürfen nicht (!) entfernt werden
- der Fremdkörper selbst verschliesst oft die beim Eindringen verletzten Blutgefässe
- Durch das Entfernen kann es es zu unstillbaren, inneren Blutungen kommen.
- Wunde vorsichtig mit Verbandsmaterial um den Fremdkörper herum versorgen
- den Fremdkörper selbst sehr gut umpolstern
- So schnell wie möglich zum Tierarzt!
F.2 Fremdkörper in der Nase
- der Hund als 'Nasen-Tier' erschnüffelt manchmal sehr intensiv seine Umwelt
- dabei kann er unter ungünstigen Umständen auch einmal einen Fremdkörper in die Nase bekommen
- dies kann zum Beispiel ein Stück Gras oder Heu, eine Mücke, ein Holzsplitter oder sogar ein kleines Steinchen sein
- der Hund wird diesen Fremdkörper (wie wir Menschen auch) reflexartig sofort wieder ausniesen
- in aller Regel gilt dabei: was durch Schnüffeln in die Nase reingekommen ist, wird durch Niesen auch wieder herauskommen
- wenn das aber nicht gelingt und der Hund sich weiter quält, sollte man einen Besuch beim Tierarzt erwägen
- besonders übel und quälend für den Hund sind in die Nase eingeschnüffelte Grannen von diversen Gräsern, diese können den Hund ernsthaft beeinträchtigen und in der Nase zu Blutungen führen, siehe -> Nasenbluten
F.3 Fremdkörper im Auge
- wenn ein Fremdkörper in das Auge des Hundes gekommen ist, bemerkt man dies meisten nur indirekt
- der Hund ist möglicherweise unruhig, blinzelt und kratzt am Auge
- das Auge kann gerötet sein und triefen
- weitere Details zu Fremdkörper im Auge des Hundes, siehe -> Augenverletzung
F.4 Fremdkörper im Pfotenbereich
- die Pfoten des Hundes sind aufgrund ihrer vielfältigen, direkten Kontakte mit dem Bodenuntergrund für Fremdkörper besonders gefährdet
- in die Pfotenballen können Glasspliter, Dornen und ähnlich spitze Fremdkörper eindgedrungen sein
- in die Zehenschwischenräume können sich durch die Haut Getreidegrannen gebohrt haben, auch Zecken können hier zu finden sein
- weitere Details zu Fremdkörper im Pfotenbereich, siehe -> Pfotenpflege
Sauerkraut ist ein nützliches Hausmittel, um verschluckte Fremdkörper einzuhüllen und durch Magen und Darm durchrutschen zu lassen. Gewöhnen Sie ihren Hund im Vorfeld mit kleinen Mengen im Mix mit dem gewohnten Futter an den ungewohnten Geschmack. Halten Sie sich einen kleinen Vorrat!
G. WEITERE HINWEISE
G.1 Prävention-Massnahmen gegen die Aufnahme von Fremdkörper
- grundsätzlich den Hund nicht mit kleinteiligem Spielzeug spielen lassen, das er zerlegen und und am Stück oder in Teilen schlucken kann
- grundsätzlich keine Steine und kurze Holzstücke als Wurf-Spielzeug verwenden
- aufgrund der Verletzungsgefahr die von der Fütterung echter Knochen ausgeht (Rachen-, Speiseröhren-, Luftröhren- und Darmverletzungen) auf diese verzichten und durch Kauknochen aus Rinderhaut ersetzen. Weitere Infos zum Thema -> Knochen verschluckt
- Trainieren Sie für den Ernstfall mit ihrem Hund die Sauerkraut-Aufnahme als Rutschmittel (s.o.). Geben Sie ihm immer mal wieder mal ein bisschen oder mischen es in das normale Futter - damit er sich an den Geschmack gewöhnt hat - wenn es einmal ernst wird. Halten Sie sich dazu immer einen kleinen Sauerkraut-Vorrat.
- um das Verschlucken von Fremdkörpern generell per Erziehung und Hunde-Training zu beeinflussen, können Massnahmen wie bei der Giftköder-Prävention nützlich sein. Weitere Infos siehe -> Giftköder-Prävention
H. Weitere Hinweise
H.1 Videos zum Thema
Was man gegen einen Fremdkörper im Rachen tun kann .
I. DOKUMENTEN-HISTORIE
Empfehlen Sie + ERSTE + HILFE + beim Hund
Jeder Hundehalter sollte über die elementaren Grundkenntnisse verfügen.
Diesen HTML-Code dürfen Sie gerne in ihre Homepage bzw. Vereinsseite einbauen:
Hund verschluckt Spielzeug – was tun?

Es ist schnell passiert, beim Spielen, toben, neugierigen beknabbern oder einfach nur aus Unachtsamkeit heraus – Ihr Hund verschluckt sein Spielzeug oder andere Kleinteile aus z.B. Kunststoff. Es ist ganz schön interessant, wenn man mal so hört, was ein Tierarzt alles aus Hunden rausgeholt hat. Das reicht von Weihnachtsschmuck, über Löffel bis hin zu Unterhosen. Klingt lustig, es kann aber sehr schnell auch gefährlich werden für den Hund. So kann verschlucktes Spielzeug etc., u.a. Magenprobleme, einen Darmverschluss oder schwere Atemnot verursachen. Auch können innere Schäden verursacht werden, wenn etwas scharfes verschluckt wird.
Erste Hilfe – Was kann ich tun?
Sobald Sie merken, dass etwas nicht simmt, oder Sie sogar mitbekommen haben, wie der Hund das Teil verschluckt, gehen Sie mit ihm sofort zum Tierarzt.
Folgende Punkte sollten Sie beachten, wenn Sie sich auf den Weg zum Tierarzt machen:
- Beruhigen Sie ihren Hund, denn Panik bei Ihnen wird sich auch auf Ihren Hund abfärben
- Auf keinen Fall sollten Sie versuchen, selbst das Objekt zu entfernen, wenn z.B. noch ein Stück (wie ein Faden) aus der Speiseröhre nach oben schaut.
- Lassen Sie sich nicht von anderen Personen beeinflussen, gehen Sie direkt zum Tierarzt
- Leinen Sie ihren Hund an und geben Sie ihm zu Ihrem eigenen Schutz einen Maulkorb
- Sorgen Sie dafür, dass der Hund während der Fahrt in der stabilen Seitenlage liegt
Was ist ein Darmverschluss?
Häufig bekommt man es nicht mit, dass der Hund etwas verschluckt. Daher muss man sich auf seine Beobachtungen verlassen und ein Unwohlsein beim Hund erkennen. Unter Umständen kann es zu einem sogenannten Darmverschluss kommen.

verschlucktes Spielzeug beim Hund
Dies ist der Fall, wenn ein verschluckter Gegenstand im Dünndarm des Hundes steckt. Man erkennt das Problem beim Hund nur schleichend da er am Anfang nur wenig Symptome zeigt. Die Hunde können noch koten, jedoch lässt ihr Appetit nach und Sie erbrechen sich gerne. Ein rascher Gewichtsverlust innerhalb kurzer Zeit kann auch auf einen Darmverschluss hindeuten. Je früher Sie den Darmverschluss erkennen, desto besser. Das verschluckte Spielzeug etc. kann nämlich Schäden im Darm hinterlassen. Dies kann so weit gehen, dass sogar ein Teil des Darms absterben oder reißen kann.
- Verschlucktes Spielzeug – Symptome erkennen
- Hund schluckt oft ohne dass er etwas im Maul hat
- Hund reibt sich oft an der Schnauze
- Seltsame Atemgeräusche
- Atemnot
- Hund versucht zu erbrechen oder würgt
- Schluckbeschwerden
- Erbrechen nach der Futtereinnahme
- Appetitlosigkeit
- Rascher Gewichtverlust
Vorbeugung: richtiges Spielzeug für den Hund
Damit es gar nicht erst soweit kommt, sollte man als Hundehalter dafür sorgen, dass das Spielzeug des Hundes ungefährlich ist. Es gibt eine riesige Auswahl an tollem Hundespielzeug, welches nicht den Hund in Gefahr bringt es zu verschlucken. Achten Sie immer auf eine gewisse Größe des Spielzeugs. Äste sind für Hunde als Spielzeug ungünstig, da hier schnell Splitter und Teile abbrechen die den Hund verletzen können. Das Spielzeug sollte also bissfest und bruchsicher sein und nicht aus mehreren Kleinteilen bestehen.
Buchempfehlung:
Ein Buch von Inge Büttner-Vogt mit Beschäftigungsideen für Hunde. Sowohl für zu Hause als auch für unterwegs.

Über den Autor zeige alle Artikel Autor Webseite
Hallo, ich bin Simon und Autor auf "rottweiler-hunde.com". Ich hoffe euch gefallen meine Artikel. Über Feedback, Ideen und Tipps freue ich mich sehr. Schreibe doch einfach in die Kommentare.
4 Kommentare Hinterlasse ein Kommentar
ein spielzeug hat meine noch nicht verschluckt,
aber dafür schon ein stein.
sie wurde geröntgt um die größe des steins fest zustellen.
zum glück war er nicht zu groß.
der tierarzt hat ihr darauf hin SAUERKRAUT verschrieben ! =)
da es sich um den stein legt und sie es dann leichter wieder raus bekam….
hab es mit keselfleisch aufgekocht damit sie es auch isst.
…hat ihr auch gut geschmeckt, mir übrigens auch ;)
> ps.: sehr praktischer und informativer artikel . werd ich weiter empfehlen !
Hey, freut mich, dass dir der Artikel gefällt! :)
Klasse Idee mit dem Sauerkraut & eine tolle Ergänzung zu dem Artikel.
ich bin die Autorin des empfohlenen Buches und freue mich sehr darüber! Ganz herzlichen Dank!
Wer möchte, kann auf meiner Homepage http://www.hundimedia.de viele Artikel, Filme und Infos
finden – Shadow und ich freuen uns und wünschen viel Vergnügen.
hund hat sich verschluckt was tun?
was tun wenn hund sich verschluckt hat?
4 Antworten

Wenn es nur Wasser ist, dann einfach abwarten, bis er es ausgehustet hat.
Bei festen Gegenständen oder Futter solltest du einen Tierarzt kontaktieren.
Bei kleinen Hunden kann es helfen, ihn an den Hinterläufen zu nehmen und ein bisschen zu wackeln. Aber bitte vorsichtig!!

Abhusten lassen. Genauso wie bei Menschen nicht auf den Rücken klopfen weil dadurch alles noch tiefer in die Lunge rutscht.
Für den Hund dasein. Ein Griff mit zwei fingern mit leichtem Druck oberhalb der vorderen Reisszähne (oberkiefer) kann helfen (Akkupressurpunkt).
Wenn es nicht besser wird zum TA.
Wenn er sich wirklich verschluckt hat. Es gibt auch Erkrankungen die ähnlich klingen.

Auf den Rücken klopfen ihn eventuell an den Beinen hochheben, also das er aushängt, und Wasser geben

Das mit sdem Klopfen besser nicht.

Doch ich meine nicht schlagen sondern klopfen, es hat bei meinem Rottie damals oft geholfen, auch wenn man dem Hund die Nase zuhält, dann bekommt man es auch weg, also das er über seine Schnauze Luft holen muss, und beim Futter habe ich ihn mal ausgehoben, dadurch ging es weg.

Was für ein Hund ist es denn ?

Laut Namen , ist es ein "Dackel"

Hmm naja, ich bin Mustang Freund und fahre einen Opel .
Auch interessant
Mein Hund hat vorhin einen Geflügelknochen verschluckt, im ganzen, ich war dann erst ratlos habe aber gelesen dass man den Hunden dann Sauerkraut geben soll, ich hab's zusammen mit Fleisch in den Napf aber ich weiß jetzt nicht ob er's Fressen will, ich habe weniger Fleisch als sonst rein damit er mehr Hunger auf das Sauerkraut hat.
Habe ich alles richtig gemacht und wir hoch ist die Wahrscheinlichkeit dass ein Hund dabei stirbt? Kann es sein dass er das ganze einfach unbeschadet übersteht?
Mein Hund hat einen Eiswürfel verschluckt muss ich jetzt zum Tierarzt um ihn rausoperieren zu lassen .
Ich bin echt verzweifelt.Wir haben eine Pflegehündin bei uns (so lange bin sie vermittelt ist).Doch sie ist so überaktiv das ist der Wahnsinn.Wir gehen teilweise 7km am Tag spazieren,sie hat einen Hundefreund,Platz zum rumtollen,viele verschiedene Leute die bei uns am Hof ein und aus gehen.Aber sie ist immer noch so unterfordert.Sie macht jeden Tag irgendetwas kaputt(Schlafmatte,Hundkörbchen,Regenschirme. ) und hat jetzt obwohl sie vorher spazieren war auch noch unsere allerliebste Henne gefressen.Wie kann ich sie beschäftigen?der Hund macht mich wahnsinnig.Spiezeug mag sie nicht oder verschluckt sei.
was passiert wenn ein yorkshire terrier eine Tablette veschluckt ?
Tablettenname: "Diclac 50mg"
?? Pfote auflegen, auf dem anderen hund reiten .
Und wie dominiert ein Hund bei dem Menschen ?
Mein Hund hat ein Stück vom Kong gefressen !! Was tun ??
hallo ich habe einen 8järigen yorkshire terrier der nun seit einiger zeit akute bauchschmerzen hat. wir waren auch schon beim tierarzt der ihm krampflösende mittel gespritzt hat, die einige tage angehalten hatten jetzt mir aber es vorkommt das die schmerzen bei meinem hund schlimmer werden, der bauch ist fest, geschwollen und es fühlt sich so an als ob er was verschluckt hätte. meine frage hatte jemand schon mit seinem tier erfahrung oder ähnliches und was war die diagnose beim tierarzt, das ich mit ihm zum tiearzt muss ist mir klar aber ich möchte ihm jetzt noch etwas helfen bis morgen früh der tierarzt sprechstunde hat.
Ich habe mal eine Frage zu meinem 8-Monate alten Hund (Irish Red Setter).
Er ist natürlich immer noch sehr verspielt und deswegen kommt es bei ihm insgesamt häufig vor, dass er sich auch mal an irgendwas (auch seiner eigenen "Sabber") verschluckt. Seit 2 Tagen macht er das allerdings mehrere Male pro Stunde (schätzungsweise 2-3/Stunde) und klingt jetzt auch so, als wäre es eine größere Anstrengung das wieder aus seinem Hals loszuwerden (es ist ein. Mix aus Husten und Hochwürgen, was er da immer macht).
Ist sein Hals im Moment einfach nur gereizt, weil er sich evtl an etwas Größerem verschluckt hat? Oder könnte es eine Art Erkältung sein? Ist es ein Grund zum TA zu gehen oder sollte man es erstmal beobachten? (Schmerzen scheint er keine zu haben. Er scheint nur dauerhaft das Gefühl zu haben, dass da ein Fremdkörper ist, wie man es ja auch bei Erkältungen manchmal hat.)
Also, mein Hund hat gerade einen Rindshautknochen gefressen und den letzten Rest so verschluckt, dass er zu würgen angefangen hat. Er hat ihn aber nicht wieder hochgewürgt, hatte aber wohl Angst, denn er ist ganz unruhig geworden. Habe ihm dann was zu trinken hingehalten, er hat dann auch getrunken und danach war es auch weg. Aber was kann ich machen, wenn es nicht reicht ihm was zu trinken hinzuhalten? Tierarzt ist klar, aber als erste Hilfe. Und ja, das nächste Mal werde ich aufpassen, wenn er sowas frisst.
Hoffe auf Antwort
P.S. Er ist ein Jahr alt und ca. 35 cm. Schulterhöhe
Mein Hund hat eben von einer Aufstrichwurst die Spitze der Plastikhülle verschluckt. Ich gebe ihr die Hülle immer zum "Auslecken", nur diesmal ist nichts übrig geblieben.
Sollte ich zum Tierarzt gehen?
mein vater will mir einfach nicht glauben das holzhundekörbchen tödlich sind für Hunde. unser hund hat es auch schon angeknabbert und glaub ich auch verschluckt. zum glück ist nichts passiert. stimmt meine Vermutung.
Hund hat Leberwursthaut gegessen
Hi Mein Bruder wollte grade unserem Hunde ein wenig Leberwurst geben und der Hund hat die komplette Wurstpelle runtergeschlungen -.- Hab noch ein Bild hinzugefügt.. das war so eine Künstliche Wurstpelle also wenns Naturdarm wäre, wäre es ja nicht schlimm.. Was kann da alles passieren? :/
4 Antworten

Durch den Verzehr von "Leberwursthaut " wird eher nix passieren - sofern der Hund nicht zuu klein ist. Ich kenne Hunde, die ganze Plastiktüten verspeisten und auf natürlichem Weg wieder ausgeschieden haben. ^^
. Besorgen würde mich eher: Wieso darf der etwas fressen, was ich ihm gar nicht füttern will?!

..oder eine ganze blechdose ;((..

Alles schon passiert - das wird dann teuer. :(

Was hast denn für nen Hund? Kleinen Hunden macht es ehr was, großen weniger. Kann sein, dass er sich erbricht oder Durchfall bekommt. Sterben wird er wohl nicht!!

Diese Platikhaut wird deinen Hund nicht schaden, er scheidet sie einfach wieder aus.
Aber Leberwurst (gewürzt und zu fett) solltest du deinem Hund nicht geben (und auch dein Bruder nicht),
Bei Hunden sollte die Regel gelten:
Hundefutter für Hunde und Menschenfutter für Menschen.
Und . als ich die Überschrift deiner Frage gelesen, da ist mir spontan das Buch "Struwelpeter" eingefallen. Denn dort gibt es eine Geschichte, vom bitter-bösen Friedrich . falls du diese noch nicht kennst . bitte lesen . ;-)

Heinrich Hoffman 1844, (1809-1894)
Am Brunnen stand ein großer Hund, trank Wasser dort mit seinem Mund.
Da mit der Peitsch' herzu sich schlich, der bitterböse Friederich;
Und schlug den Hund, der heulte sehr, und trat und schlug ihn immer mehr.
Da biß der Hund ihn in das Bein, recht tief bis in das Blut hinein. Der bitterböse Friederich, der schrie und weinte bitterlich. - Jedoch nach Hause lief der Hund und trug die Peitsche in dem Mund.
Ins Bett muß Friedrich nun hinein, litt vielen Schmerz an seinem Bein; und der Doktor sitzt dabei und gibt ihm bitt're Arzenei.
Der Hund an Friedrichs Tischchen saß, wo er den großen Kuchen aß; Aß auch die gute Leberwurst und trank den Wein für seinen Durst.
Die Peitsche hat er mitgebracht und nimmt sie sorglich sehr in acht.


Du hast Recht Hundefutter für Hunde , aber das sollte man nicht ganz zu ernst nehmen.

Vermutlich nichts schlimmes. Das ist ein genähter Textildarm für Kochwürste, innen vermutlich mit einer fettdichten Folie ausgestattet, die aber fest mit ihm verbunden ist. Ich nehme mal an, dass der Metallclip vom Wurstende, wenn einer vorhanden war, nicht mitgenommen wurde. Wenn die Pelle erst einmal den Rachen passiert hat, kommt anatomisch eigentlich nichts mehr, wo sie hängen bleiben könnte.Eventuell bleibt sie etwas länger im Magen und könnte dann erbrochen werden. Wenn sie dabei im Rachenbereich hängen bleibt, wird der Hund das durch Husten, Speichel und Würgen anzeigen. Wenn der Hund sie dabei nicht herausbekommt, muss eingegriffen werden. Ansonsten dürfte sie den Weg aller Nahrungsreste gehen und wieder zum Vorschein kommen.
Auch interessant
Hallo Mein bruder hat gestern sein Eis nicht fertig gegesen und maya (unseren Hund) das Eis abschlecken lassen (war kein schokoladen haltiges eis nur wasser eis.) und sie hat den stiel verschuckt. Ist das schlimm? Kommt es ganz normal wider ''raus''? Was soll ich machen muss ich zum TA? Lg
Hallo, gestern Abend hat mein kleiner Yorkshire Welpe ( 14 wochen ) angefangen zu schreien. Wir sind gleich zur Tierklinik gefahren und haben sie untersuchen und röntgen lassen. Der Arzt hat festgestellt das sie irgendwas verschluckt hat und hat ihr Medikamente gegeben . Er meint wenn der Fremdkörper nicht bis in 2 Tagen draußen ist oder sie erbrechen muss, muss sie operiert werden.
Jetzt meine Frage hat euer Hund schon einmal was verschluckt ? Und was habt ihr getan ? Mache mir echt Sorgen um meine Kleine.
Hoffe auf Antwort
Mein Bruder hat eine Hunde und Katzenallergie,wenn wir uns eine Katze oder einen Hund besorgen würden welche Rasse wäre gut für Allergiker?
unser Hund hat gerade aus heiterem Himmel ein Foto aus dem Regal geklaut und gefressen. Besteht Gefahr in Form eines Darmverschlusses o.ä.? Oder ist Fotopapier sogar schädlich?
Herzlichen Dank im Voraus.
Es gab da mal so eine Fernsehserie aus USA auf dem Discovery-Channel die hieß: “Hilfe, was hat mein Hund gefressen?“
Wie der Titel schon vermuten lässt wurden dabei Geschichten erzählt von Hunden die alle möglichen Dinge verschluckt haben wie z.B. einen Wischmop mit Stiel, einen Tanga, einen Ring, Papiergeld, Steine, Tennisbälle, Stofftiere, Schnuller usw. Das war zwar oft dramatisch aber im Nachhinein erzählt, auch lustig.
Es waren auch mal eine Katze mit einer Nadel im Gaumen, einen Papagei der die Zähne eines Reißverschlusses verschluckt hat und eine Schildkröte die sich ein paar Schrauben schmecken ließ dabei.
Zu meiner Frage, habt Ihr auch mal so was erlebt? Habt Ihr auch so einen Hund der alles lecker findet? Oder kennt Ihr so einen Müllschlucker vor dem man nichts liegen lassen darf?
Ja hallo gerade haben wir einbisschen mit unserem ping pong ball gespielt dann ist er auf den boden gefallen und hüpfte etwas der hund war auch im raum dann konnten wir den ball nicht mehr finden und jetzt denken wir dass es ihn vielleicht aufessen konnte es ist ein boxer kann das sein dass er ihn innerhalb von 5 sekunden runter schlucken konnte was sollen wir jetzt machen er zeigt null anzeichen. Hilfe! danke im vorraus
Hallo ! Mein Hund hat soeben wilde Weinblätter gegessen und 20Minuten später mehrmals erbrochen. Weiß jemand, ob die für Hunde giftig sind? Lg
Hallo, wir haben folgendes Problem. Immer wenn er seinen Hals irgendwo gegendrückt beim Kämpfen oder beim Spielen verschluckt er sich danach, warum ist das so und was kann man dagegen tun ?
Wenn mein alter Hund trinkt, verschluckt er sich immer und er bekommt es in der Lunge. Neuerdings verschluckt er sich auch beim fressen. Woran liegt das und was kann ich tun?
Hallo, ich bin momentan total panisch! Ich habe mit meiner Labrador Hündin 7 Jahre alt gespielt. Wir haben das Kommando " Spring" genommen. Das sie halt springt. Ich habe statt Leckerlies Trockenfutter genommen. Da sie es gerne frisst, sie hatte total Spaß bis sie dann angefangen hat zu würgen ich habe mich total erschrocken und alles weggelegt und jetzt hat sie sich hingelegt und nicht nochmal gewürgt. Ist da jetzt wieder alles in Ordnung? :( Lg
Mein Hund hat eben von einer Aufstrichwurst die Spitze der Plastikhülle verschluckt. Ich gebe ihr die Hülle immer zum "Auslecken", nur diesmal ist nichts übrig geblieben.
Sollte ich zum Tierarzt gehen?
Hallöchen. Ich habe folgendes Problem. Wenn mein Hund sich übermäßig doll freut oder rennt und danach schnell zum Stehen kommt bekommt er keine Luft mehr! ;o Meistens allerdings, wenn er sich sehr freut, wenn ich oder meine Eltern/Freunde nach Hause kommen. Dann sacken ihm die Beine weg. Und all das. Wir vermuten, dass er seine eigene Zunge verschluckt. Ich weiß nicht wie ich ihm helfen soll und deswegen - das hört sich jetzt echt ekelig an (aber ich weiß sonst nicht, wie) - ein Finger in den Hals und hole seine Zunge wieder "raus".
Kennt das jemand von euch auch? Hilfe wäre echt super!
Hallo! Mein Berner-Sennenhund hat, wie ich vermute eine Pinnwandnadel gefressen. Er ist erst 5 Monate alt und sammelt alles auf was er findet. Ich habe die Vermutung das er eine Nadel gefressen hat weil etws von der Pinnwand abgefallen ist und ich die dazugehörige Nadel nicht finden kann. Ich hab ihm danach ein wenig in Wasser aufgeweichtes Futter gegeben, mit dem Gedanken das vielleicht die Nadel, falls sie sich im Magen befindet vom Futter umhüllt den weg nach draussen finden wird. Das ganze ist jetzt etwa eine halbe Stunde bis dreiviertel Stunde her. Bisher benimmt er sich wie immer, kein quieken oder sonst etwas. Hab was von Sauerkraut gelesen, was denkt Ihr dazu? So eine Pinnwandnadel ist ja recht spitz. Beim Tierarzt werde ich jetzt auch anrufen. Bin dankbar über Meinungen von Leuten die vielleicht ähnliche Situationen kennen und wissen was genau man selbst für den Hund tun kann.
NOTFALL-CHECKLISTE : Hund hat Knochen verschluckt
Wie schädlich oder gar gefährlich sind verschluckte Knochen? Sind Kauknochen aus Rinderhaut ein Ersatz?
A. AUSGANGSLAGE
- der Hund hat einen Knochen verschluckt hat
- dies wurde direkt beobachtet
- oder es muss indirekt darauf geschlossen werden, weil der Knochen fehlt und der Hund einen grösseren Knochen in so kurzer Zeit gar nicht klein nagen konnte
- der Knochen kann sich in der Mundhöhle bzw. im Rachenbereich, den Atemwegen, Luftröhre oder kleinere Teile schon in den Bronchien, der Speiseröhre, dem Magen oder Darmbereich befinden
- auch ein an sich harmlos abzunagender Knochen, kann zu gross verschluckt - z.B. aus Gier, Futterneid, etc. - akute Lebensgefahr durch Ersticken bedeuten
- die Atemwege können blockiert werden
- der Knochen kann bereits auf dem Weg in den Magen die Speiseröhre oder später den den Darm perforieren
- es kann zu einer Entzündung des Darms bis zu dessen Absterben kommen
- Knochenteile können sich am Dickdarmausgang verfestigen, der medizinische Begriff ist Koprostase - mit der Folge einer Stauung von Kot im Bereich des Dickdarms, siehe auch Darmverschluss
- wenn deutlich erkennbar die Atmung des Hundes beeinträchtigt ist, droht ein akuter Notfall in Form einer Erstickung, weitere Details siehe -> Erstickungsanfall
A.1 Hintergrund-Infos
- ein verschluckter Knochen kann egal wo er im Verdauungsystem hängen bleibt, dem Hund erheblich schaden kann
- auch für Aussagen wie . dass es ja einem Wolf auch nicht schaden würde, gibt es keine Belege
- es gibt Tierärzte, die generell von einer Knochenfütterung an Hunde abraten. Ersatzweise kann ein Kauknochen aus Büffelhaut gegeben werden.
- weiterhin ist zu bedenken, dass die Knochen für unsere Hunde oft erhitzt, gekocht oder gebraten zum Hund gelangen. Das kann dazu führen, dass sie splittern, brüchig werden, und extrem spitz eine Gefährdung für Rachen, Speiseröhre, Luftröhre, Magen und Darm darstellen.
- wenn der Hund schlichtweg einen zu grossern Knochen verschluckt hat, kann es anschliessend zu sichbaren Beschwerden kommen, der Knochen kann wörtlich im Hals des Hundes stecken bleiben (u.a. Würgen, Beschwerden beim Atmen, beim Schlucken, es droht Erstickungsgefahr)
A.2 wenn das Verschlucken nicht beobachtet wurde
- und auch nichts Auffälliges fehlt
- aber der Hund sich eigenartig verhält
- prüfen ob Spielzeug fehlt - oder Teile (!) davon abgebissen wurden und fehlen
- prüfen ob ein Kleidungsstück fehlt (Nylonstrümpfe, Socken, etc.)
- prüfen ob Teppich (-Teile) angefressen sind
B. VORBEREITUNG UND SELBSTSCHUTZ
- beruhigend auf den Hund einwirken
- auch beruhigend auf die anderen Personen einreden, Panik hilft niemandem !
- unüberlegte Maßnahmen von anderen Personen vermeiden
- Hund anleinen bzw. festbinden (der Hund könnte im Schock davon laufen, z.B. in ein Auto), Details siehe -> Sichern und Beruhigen
- zum Selbstschutz: nur wenn der Hund sehr aktiv scheint, Maulkorb oder Maulschlinge anlegen, Details siehe -> Maulschlinge
- den Hund in die stabile Seitenlage bringen, Details siehe -> stabile Seitenlage
C. SYMPTOME
Die folgenden Symptome können verschieden stark ausgeprägt sein, je nachdem was verschluckt wurde und wie tief sich der Fremdkörper bereits im Verdauungsbereich befindet:
Wenn der Knochen im Bereich der Atemwege, Maul- oder Rachenbereich ist:
- der Hund würgt
und versucht sich zu erbrechen
- er reibt sich ständig an der Schnauze
- leeres Schlucken
- Schluckbeschwerden
- Maul steht offen
- Niesen oder Husten
- Atemgeräusche
- Atemnot
- die Atemwege müssen frei sein -> Atemwege prüfen
Wenn der Fremdköper bereits im Magen- oder Darmbereich ist:
- Erbrechen nach einer Futteraufnahme
- Erbrochenes mit Blut durchsetzt
- Verweigerung der Futter- und Wasseraufnahme
- Mattigkeit
- kein Absetzen von Kot mehr
- Schleim bleibt am Thermometer nach dem Fieber-messen (rektal) haften
D. NOTFALLMASSNAHMEN
- wenn noch möglich, durch schnelles Eingreifen den Knochen aus dem Rachen-Mund-Bereich manuell entfernen, bevor der Hund ihn schluckt hat
D.1 WENN EIN GEGENSTAND BEREITS IM MAGEN / DARM-BEREICH IST
- wenn der Fremdkörper bereits tief verschluckt ist, kann nur noch der Tierarzt helfen
- WICHTIG: Den Hund nicht selbst zum Erbrechen bringen, da dies zu einer Erstickungsgefahr führt!
- WICHTIG: wird beim Gassigehen nach dem Kot-Absetzen am After ein Stück verschluckter Schnur oder ähnliches sichtbar, auf keinen Fall daran ziehen. Die Schnur kann weit in den Darm reichen und beim Rausziehen schwerste Darmverletzungen verursachen
D.2 WENN DER GEGENSTAND IM BEREICH DER ATEMWEGE IST
- in leichten Fällen: das Husten des Hundes durch Klopfen zwischen die Schulterblätter unterstützen
- wenn der Hund zu ersticken droht, an den Hinterfüssen hochheben bei kleineren Hunden und an der Brust bei grösseren - und versuchen den Fremdkörper heraus zu schütteln
- Atemwege blockiert oder teilweise blockiert -> Atemwege freimachen
- wenn ein Fremdkörper im Atemweg nicht beseitigt werden konnte, kann es sein dass es zum Atemstillstand kommt
- der Hund ist bewusstlos
- der Fremdkörper muss nun rigoros entfernt werden
- zum Beispiel mit einem Holzlineal oder Schraubenzieher
- WICHTIG: wenn die Atmung ausgesetzt hat, sofort weiter mit NOTFALL-CHECKLISTE -> Atemstillstand
E. TRANSPORT ZUM TIERARZT
- wenn möglich einen Helfer organisieren, herbeirufen oder herwinken, auch ggf. auch laut um Hilfe rufen
- wenn das Transportfahrzeug in der Sonne stand, gut durchlüften bevor man den Hund hinein bringt
- vorab mit Tierarzt telefonisch Kontakt aufnehmen
- sicherstellen daß die Praxis oder Klinik geöffnet hat
- wenn der Hund gehen kann, sollte man ihn lassen
- die Fahrt zum Tierarzt sollte schnell wie möglich erfolgen, dabei darf man aber keine unnötigen Risiken auf sich nehmen sein
- wenn man selbst zu aufgeregt zum Autofahren ist sollte man jemand Anderes bitten dies zu übernehmen
- weitere Details zum Transport des verletzten Hundes, siehe -> Transport
F. WEITERE HINWEISE
F.1 Sauerkraut - wenn der Knochen den Rachenbereich sicher passiert hat
- Wenn keine Beschwerden erkennbar sind, kann man evtl. nach Absprache mit dem Tierarzt auch mit Hausmittel helfen
- Man kann dem Hund Sauerkraut geben. Sauerkraut kann den verschluckten Knochen einhüllen und damit helfen Darmverletzungen zu vermeiden.
- Ein scharfer, spitzer Hühnerknochen - der trocken und allein durch den Darm rutscht, kann auf jeden Fall gefährlich werden. Das Sauerkraut soll sich um die gefährlichen Teile legen und dafür sorgen dass es besser durch rutscht und dann besser hinten raus kommt.
- das Sauerkraut sollte idealerweise vorher mit Wasser ausgespült werden, da viele Hunde die Säure nicht mögen - zusätzlich kann man den Geschmack verbessern und etwas Fleischbrühe oder auch Leberwurst zugeben
Wie man mit einen Erstickungsanfall umgeht .
F.3 PRÄVENTIVMASSNAHMEN
- keine Geflügelknochen füttern, da diese splittern und die Speiseröhre, Magen und Darm verletzen können.
- wenn möglich auf Knochenfütterung ganz verzichten und dem Hund als Alternative zum Knochen das Kau-Vergnügen mit Büffelhaut, Rinderhautknochen oder Ochsenziemer ersetzen
- die Rinderhaut des Kauknochen wird auf dem Verdauungsweg vollkommen aufgeweicht - beginnend mit dem Einspeicheln im Mund
- aber auch der weiche Kauknochen kann die Atemwege blockiert, es zum Erstickungsanfall kommen, wenn er zu gross geschluckt wird, weitere Details siehe -> Erstickungsanfall
- wenn ihr Hund einen Knochen oder Kauknochen abnagt, lassen Sie ihn dabei ganz in Ruhe - unterstützen kein (!) Futterneidverhalten indem sie ihm den Knochen wieder wegnehmen - was letzlich ein gieriges Runterschlucken am Stück konditioniert
- wenn regelmäßig größere Knochenmengen auf dem Speiseplan des Hundes stehen, sollte unbedingt auch das Risiko von Knochenkot berücksichtigt werden, weitere Details siehe -> Knochenkot
F.4 QUELLENVERZEICHNIS
- Ein Tierarzt bezieht deutlich Stellung gegen die Knochenfütterung: http://www.kubinetz.de/knochen.html
G. DOKUMENTEN-HISTORIE
Empfehlen Sie + ERSTE + HILFE + beim Hund
Jeder Hundehalter sollte über die elementaren Grundkenntnisse verfügen.
Diesen HTML-Code dürfen Sie gerne in ihre Homepage bzw. Vereinsseite einbauen:
US Search Desktop

We appreciate your feedback on how to improve Yahoo Search. This forum is for you to make product suggestions and provide thoughtful feedback. We’re always trying to improve our products and we can use the most popular feedback to make a positive change!
If you need assistance of any kind, please visit our community support forum or find self-paced help on our help site. This forum is not monitored for any support-related issues.
The Yahoo product feedback forum now requires a valid Yahoo ID and password to participate.
You are now required to sign-in using your Yahoo email account in order to provide us with feedback and to submit votes and comments to existing ideas. If you do not have a Yahoo ID or the password to your Yahoo ID, please sign-up for a new account.
If you have a valid Yahoo ID and password, follow these steps if you would like to remove your posts, comments, votes, and/or profile from the Yahoo product feedback forum.
- Vote for an existing idea ( )
- or
- Post a new idea…
- Hot ideas
- Top ideas
- New ideas
- Category
- Status
- My feedback
Put on the computer what the public asks for, not everything about the US.
I asked for a total medal count. I have been looking for 20 minutes and still cannot find it.
I also asked for a specific medal count for a specific country and got a history of when they first started to compete in the Olympics. I asked for a medal count for 2018, as of today,
not a history of that country.
You don't even accept what I have asked.
- Don't see your idea?
- Post a new idea…
US Search Desktop
- Post a new idea…
- All ideas
- My feedback
- I have a problem 24
- I have a suggestion 20
- Other 3
- What I dislike 29
Feedback and Knowledge Base
Give feedback
- Deutschland Finanzen Mobile DF iOS 1 idea
- España Finanzas Mobile DF iOS 7 ideas
- Accounts Dashboard 33 ideas
- Ad feedback 3 ideas
- Answers TH 31 ideas
- Answers TH 0 ideas
- Answers UV Forum (test version) 10 ideas
- Australia Celebrity 0 ideas
- Australia Finance Mobile Android 0 ideas
- Australia Style 0 ideas
- Australia Yahoo Tech 0 ideas
- Autos Pulse 2 ideas
- Aviate 1,513 ideas
- Canada Finance 1,099 ideas
- Canada Finance Mobile Android 0 ideas
- Canada Finance Mobile DF iOS 3 ideas
- Canada Finance Mobile iOS 469 ideas
- Canada Homepage 5,130 ideas
- Canada Movies 14 ideas
- Canada News 873 ideas
- Canada Safely 10 ideas
- Canada Screen 128 ideas
- Canada Weather 94 ideas
- Canada Yahoo Beauty 0 ideas
- Canada Yahoo Celebrity 10 ideas
- Canada Yahoo Finance 0 ideas
- Canada Yahoo Movies 10 ideas
- Canada Yahoo News 0 ideas
- Canada Yahoo Style 21 ideas
- College Football Pick'em 112 ideas
- Connected TV 362 ideas
- Corp Mail Test 1 1,313 ideas
- Corp Mail Testing 1,256 ideas
- Cricket 24 ideas
- Daily Fantasy 89 ideas
- Developer Network 1 idea
- Double Down 86 ideas
- Fantasy Baseball 455 ideas
- Fantasy Basketball 402 ideas
- Fantasy Football 707 ideas
- Fantasy Hockey 354 ideas
- Fantasy Live Scoring on Matchup and Standings 811 ideas
- Fantasy Ratings and Levels 7 ideas
- Fantasy Sports Android Apps 1,367 ideas
- Fantasy Sports iOS Apps 2,127 ideas
- Finance 1,248 ideas
- Finance - CA 495 ideas
- Finance - US 9 ideas
- Finance ChartIQ 443 ideas
- Finance Mobile Web 403 ideas
- Finance Portfolios 810 ideas
- Finance Stock Screener 35 ideas
- Finance Tablet 44 ideas
- Flickr - Profile 290 ideas
- Flickr Android 60 ideas
- Flickr for Apple TV 27 ideas
- Flickr Groups 13 ideas
- Flickr Internal 0 ideas
- Flickr iOS Dogfooding 0 ideas
- Flickr iPad 152 ideas
- Flickr iPhone 368 ideas
- Flickr New Photo Page 8,030 ideas
- Flickr Search 0 ideas
- Food Magazines 0 ideas
- Games 3,147 ideas
- Global Maps 1,024 ideas
- GS Mobile Web 42 ideas
- Health Pulse 3 ideas
- Home Page (Android) 1,689 ideas
- Home Page (iOS) 3,809 ideas
- Hong Kong Homepage 0 ideas
- India Celebrity 43 ideas
- India Finance 493 ideas
- India Homepage 1,872 ideas
- India Lifestyle 173 ideas
- India Movies 84 ideas
- India News 334 ideas
- India Partner Portal Tata 0 ideas
- India Partner Portal Tikona 0 ideas
- India Safely 15 ideas
- India Screen 165 ideas
- India Weather 30 ideas
- India Yahoo Beauty 0 ideas
- India Yahoo Celebrity 4 ideas
- India Yahoo Finance 0 ideas
- India Yahoo Movies 16 ideas
- India Yahoo News 0 ideas
- India Yahoo Style 14 ideas
- Indonesia Celebrity 38 ideas
- Indonesia Homepage 1,165 ideas
- Indonesia News 170 ideas
- Indonesia Safely 29 ideas
- Indonesia She 34 ideas
- Ireland Homepage 90 ideas
- Jordan Maktoob Homepage 419 ideas
- Mail Ad Feedback 10 ideas
- Maktoob الطقس مكتوب 5 ideas
- Maktoob Celebrity 1 idea
- Maktoob Entertainment 10 ideas
- Maktoob Lifestyle 0 ideas
- Maktoob Movies 2 ideas
- Maktoob News 182 ideas
- Maktoob Screen 15 ideas
- Maktoob Style 1 idea
- Maktoob ألعاب مكتوب 0 ideas
- Maktoob شاشة مكتوب 28 ideas
- Malaysia Homepage 17 ideas
- Malaysia News 58 ideas
- Malaysia Safely 7 ideas
- Malaysia Video 0 ideas
- Malaysia Weather 1 idea
- Merchant Solutions 1 idea
- My Yahoo 31,967 ideas
- My Yahoo - back up 1 idea
- My Yahoo - US 9,176 ideas
- My Yahoo archive 314 ideas
- New Mail 11,358 ideas
- New Mail* 3,165 ideas
- New Zealand Business & Finance 132 ideas
- New Zealand Homepage 1,039 ideas
- New Zealand Safely 3 ideas
- New Zealand Screen 0 ideas
- PH ANC News 21 ideas
- Philippines Celebrity 214 ideas
- Philippines Homepage 9 ideas
- Philippines News 123 ideas
- Philippines Safely 12 ideas
- Philippines Video 0 ideas
- Philippines Weather 3 ideas
- Pick N Roll 19 ideas
- Postmaster 43 ideas
- Pro Football Pick'em 103 ideas
- Retail Pulse 0 ideas
- Rivals 11 ideas
- Safely 165 ideas
- Screen for iOS 0 ideas
- Search Extensions 98 ideas
- Search Product Downloads 89 ideas
- Security 497 ideas
- Sign-In Experience 79 ideas
- Singapore Entertainment 20 ideas
- Singapore Finance 230 ideas
- Singapore Homepage 1,052 ideas
- Singapore News 214 ideas
- Singapore Safely 11 ideas
- Singapore Screen 19 ideas
- Singapore Weather 4 ideas
- Singapore Yahoo Beauty 0 ideas
- Singapore Yahoo Celebrity 4 ideas
- Singapore Yahoo Finance 0 ideas
- Singapore Yahoo Movies 0 ideas
- Singapore Yahoo News 0 ideas
- Singapore Yahoo Style 4 ideas
- South Africa Celebrity 8 ideas
- South Africa Homepage 374 ideas
- South Africa News 23 ideas
- Sports Android 1,534 ideas
- Sports CA 35 ideas
- Sports iOS 1,026 ideas
- Sports Redesign 3,206 ideas
- SportsReel 6 ideas
- StatTracker Beta 581 ideas
- Survival Football 81 ideas
- Taiwan Yahoo 名人娛樂 0 ideas
- Taiwan Yahoo 運動 0 ideas
- Test 0 ideas
- Thailand Safely 2 ideas
- Toolbar Mail App 216 ideas
- Toolbar Weather App 72 ideas
- Tourney Pick'em 44 ideas
- UK & Ireland Finance 1,077 ideas
- UK & Ireland Games 19 ideas
- UK & Ireland Homepage 455 ideas
- UK & Ireland News 0 ideas
- UK & Ireland News Internal bucket 0 ideas
- UK & Ireland News Lego 378 ideas
- UK & Ireland Safely 38 ideas
- UK & Ireland TV 21 ideas
- UK & Ireland Video 187 ideas
- UK & Ireland Weather 100 ideas
- UK Answers 1 idea
- UK Daily Fantasy 1 idea
- UK Finance Mobile Android 12 ideas
- UK Finance Mobile DF iOS 2 ideas
- UK Finance Mobile iOS 310 ideas
- UK Yahoo Movies 23 ideas
- US Answers 8,999 ideas
- US Answers Mobile Web 2,156 ideas
- US Autos GS 442 ideas
- US Celebrity GS 661 ideas
- US Comments 350 ideas
- US Finance Mobile Android 44 ideas
- US Finance Mobile iOS 582 ideas
- US Flickr 267 ideas
- US Groups 4,225 ideas
- US Homepage B1 68 ideas
- US Homepage B2 33 ideas
- US Homepage B3 50 ideas
- US Homepage B4 33 ideas
- US Homepage B5 0 ideas
- US Homepage M 7,021 ideas
- US Homepage YDC 43 ideas
- US Homes GS 203 ideas
- US Live Web Insights 24 ideas
- US Mail 193 ideas
- US Mail 12,398 ideas
- US Maps 3,491 ideas
- US Membership Desktop 8,189 ideas
- US Membership Mobile 91 ideas
- US Movies GS 424 ideas
- US Music GS 195 ideas
- US News 6,057 ideas
- US Search App Android 2 ideas
- US Search App iOS 13 ideas
- US Search Chrome Extension 780 ideas
- US Search Chrome Extension v2 2,197 ideas
- US Search Desktop 1 idea
- US Search Desktop Bucket A 7 ideas
- US Search Desktop Bucket B 8 ideas
- US Search KG 14 ideas
- US Search Local Listings 20,797 ideas
- US Search Mobile Web 1 idea
- US Search Mozilla 0 ideas
- US Search Stock Quotes 11 ideas
- US Search Tablet Web 1 idea
- US Shine GS 1 idea
- US Toolbar 5,548 ideas
- US Travel GS 207 ideas
- US TV GS 367 ideas
- US Weather 2,322 ideas
- US Weather Bucket 0 ideas
- US Weather Mobile 13 ideas
- US Weather Mobile Android 2 ideas
- Video Guide Android 150 ideas
- Video Guide iOS 207 ideas
- Video Guide Testing 15 ideas
- Web Hosting 4 ideas
- Whitelist Yahoo Mail 0 ideas
- Yahoo Accessibility 359 ideas
- Yahoo Autos 71 ideas
- Yahoo Beauty 102 ideas
- Yahoo Celebrity 0 ideas
- Yahoo Celebrity Canada 0 ideas
- Yahoo Decor 0 ideas
- Yahoo Entertainment 357 ideas
- Yahoo Esports 50 ideas
- Yahoo Feedback 0 ideas
- Yahoo Finance Feedback Forum 1 idea
- Yahoo Finance IN Mobile Android 0 ideas
- Yahoo Finance SG Mobile Android 1 idea
- Yahoo FinanceReel 4 ideas
- Yahoo Food 118 ideas
- Yahoo Gemini 2 ideas
- Yahoo Health 90 ideas
- Yahoo Help 340 ideas
- Yahoo Home 240 ideas
- Yahoo Home* 28 ideas
- Yahoo Lifestyle 168 ideas
- Yahoo Live 0 ideas
- Yahoo Mail 2,348 ideas
- Yahoo Mail Android App 415 ideas
- Yahoo Mail Basic 643 ideas
- Yahoo Mail iOS App 55 ideas
- Yahoo Mail Mobile Web 1 idea
- Yahoo Makers 51 ideas
- Yahoo Messenger 93 ideas
- Yahoo Mobile Developer Suite 61 ideas
- Yahoo Mobile for Phone 15 ideas
- Yahoo Mobile for Tablet 0 ideas
- Yahoo Music 78 ideas
- Yahoo News Digest Android 870 ideas
- Yahoo News Digest iPad 0 ideas
- Yahoo News Digest iPhone 1,531 ideas
- Yahoo Newsroom Android App 59 ideas
- Yahoo Newsroom iOS App 34 ideas
- Yahoo Parenting 63 ideas
- Yahoo Politics 118 ideas
- Yahoo Publishing 13 ideas
- Yahoo Real Estate 2 ideas
- Yahoo Tech 461 ideas
- Yahoo Travel 143 ideas
- Yahoo TV 103 ideas
- Yahoo View 217 ideas
- Yahoo Weather Android 2,142 ideas
- Yahoo Weather iOS 22,810 ideas
- Yahoo! 7 Food App (iOS) 0 ideas
- Yahoo! 7 Homepage Archive 57 ideas
- Yahoo! 7 News (iOS) 23 ideas
- Yahoo! 7 Screen 0 ideas
- Yahoo! 7 TV FANGO App (Android) 1 idea
- Yahoo! 7 TV FANGO App (iOS) 1 idea
- Yahoo! 7 TV Guide App (Android) 0 ideas
- Yahoo! 7 TV Guide App (iOS) 1,249 ideas
- Yahoo! 7 TV Plus7 App (iOS) 0 ideas
- Yahoo! Concept Test Feedback Center 174 ideas
- Yahoo! Contributor Network 1 idea
- Yahoo! Transliteration 29 ideas
- YAHOO!7 Finance 553 ideas
- Yahoo!7 Games 9 ideas
- Yahoo!7 Safely 19 ideas
- Yahoo7 Finance Mobile DF iOS 12 ideas
- Yahoo7 Finance Mobile iOS 217 ideas
- Yahoo7 Homepage 2,549 ideas
Your password has been reset
We have made changes to increase our security and have reset your password.
We've just sent you an email to . Click the link to create a password, then come back here and sign in.
Kauknochen verschluckt
Das kenne ich von meinem Hund auch .
Ah, unser Senne hat sich solch einen Markknochen mal über den Unterkiefer gebissen. Er mußte dann in Narkose gelegt werden und der Knochen wurde dann aufgesägt.
Die Angst in den Augen würde ich gerne vergessen.
Au weia! Das habe ich ja noch nie gehört. Der Arme!
Vielen Dank schonmal. Gestern Abend ging es ihr soweit ganz gut, nur hat sie heute furchtbaren Durchfall. Ist alles ganz flüssig und sie macht auch viel öfter als sonst. Das kommt bestimmt von dem Ochsenziemer oder?! Hochgewürgt hat sie ihn nicht, also versucht der Magen gerade zu verdauen oder?!
Ja, der Durchfall ist normal.
Was nu? Protein oder Fett?
Protein und Fett
Was nu? Protein oder Fett? *schmunzel*
Ähnlich wie beim Menschen müssen die Proteine nämlich nicht nur resorbiert, sondern auch Verstoffwechselt werden, wenn es eine zu hohe Proteinzufuhr gibt, hierbei entstehen Abfallprodukte, die die Nieren nachhaltig schädigen können, deshalb solche Sachen ls "Leckerchen" füttern, sprich, ab und zu und nicht ständig damit zufüttern.
Fett ist in diesen Getrockenet Sachenwie Schweineohren und Ochsenziemern nicht wirklich drin!
Hm, 10 Minuten Zeit reichen einigen Hunden völlig, um große Stücke Trockenguts zu kauen. Mein Whiskey braucht selten so lange, für ein Schweineohr höchstens zwei Minuten.
Hast Du deinen Hund dabei beobachten? Schlingt sie das tatsächlich am Stück, nachdem sie's weich gesabbert hat? Oder Kaut sie intensiv und schluckt dann?
beobachtest halt ein bisschen ,aber meine alte rottihündin hat das auch mal gemacht. nen frischen Knochen (büffelhaut) und das nur weil ich an ihr vorbei gelaufen bin, sie angeprochen hab. sie dachte sicher ich will den haben^^ die Magensäure vom hund ist viel aggresiver als beim Menschen.
Der Wolf schlingt ja auch alles runter.
Hier geht es in die aktuelle Version dieser Seite. Nimm dort aktiv am Diskussionsgeschehen teil.
Forum: Mein Tier & ich
Welches Haustier passt zu unserer Familie? Wie oft muss ein Hund geimpft werden? Woher bekommen wir Rennmäuse? Tierliebhaber finden in diesem Forum Antworten auf alle Fragen rund um die Tierhaltung. Achtung: Über unser Forum dürfen keine Tiere weitergegeben werden.
Hund hat Leberwursthaut gegessen
Hi Mein Bruder wollte grade unserem Hunde ein wenig Leberwurst geben und der Hund hat die komplette Wurstpelle runtergeschlungen -.- Hab noch ein Bild hinzugefügt.. das war so eine Künstliche Wurstpelle also wenns Naturdarm wäre, wäre es ja nicht schlimm.. Was kann da alles passieren? :/
4 Antworten

Durch den Verzehr von "Leberwursthaut " wird eher nix passieren - sofern der Hund nicht zuu klein ist. Ich kenne Hunde, die ganze Plastiktüten verspeisten und auf natürlichem Weg wieder ausgeschieden haben. ^^
. Besorgen würde mich eher: Wieso darf der etwas fressen, was ich ihm gar nicht füttern will?!

..oder eine ganze blechdose ;((..

Alles schon passiert - das wird dann teuer. :(

Was hast denn für nen Hund? Kleinen Hunden macht es ehr was, großen weniger. Kann sein, dass er sich erbricht oder Durchfall bekommt. Sterben wird er wohl nicht!!

Diese Platikhaut wird deinen Hund nicht schaden, er scheidet sie einfach wieder aus.
Aber Leberwurst (gewürzt und zu fett) solltest du deinem Hund nicht geben (und auch dein Bruder nicht),
Bei Hunden sollte die Regel gelten:
Hundefutter für Hunde und Menschenfutter für Menschen.
Und . als ich die Überschrift deiner Frage gelesen, da ist mir spontan das Buch "Struwelpeter" eingefallen. Denn dort gibt es eine Geschichte, vom bitter-bösen Friedrich . falls du diese noch nicht kennst . bitte lesen . ;-)

Heinrich Hoffman 1844, (1809-1894)
Am Brunnen stand ein großer Hund, trank Wasser dort mit seinem Mund.
Da mit der Peitsch' herzu sich schlich, der bitterböse Friederich;
Und schlug den Hund, der heulte sehr, und trat und schlug ihn immer mehr.
Da biß der Hund ihn in das Bein, recht tief bis in das Blut hinein. Der bitterböse Friederich, der schrie und weinte bitterlich. - Jedoch nach Hause lief der Hund und trug die Peitsche in dem Mund.
Ins Bett muß Friedrich nun hinein, litt vielen Schmerz an seinem Bein; und der Doktor sitzt dabei und gibt ihm bitt're Arzenei.
Der Hund an Friedrichs Tischchen saß, wo er den großen Kuchen aß; Aß auch die gute Leberwurst und trank den Wein für seinen Durst.
Die Peitsche hat er mitgebracht und nimmt sie sorglich sehr in acht.


Du hast Recht Hundefutter für Hunde , aber das sollte man nicht ganz zu ernst nehmen.

Vermutlich nichts schlimmes. Das ist ein genähter Textildarm für Kochwürste, innen vermutlich mit einer fettdichten Folie ausgestattet, die aber fest mit ihm verbunden ist. Ich nehme mal an, dass der Metallclip vom Wurstende, wenn einer vorhanden war, nicht mitgenommen wurde. Wenn die Pelle erst einmal den Rachen passiert hat, kommt anatomisch eigentlich nichts mehr, wo sie hängen bleiben könnte.Eventuell bleibt sie etwas länger im Magen und könnte dann erbrochen werden. Wenn sie dabei im Rachenbereich hängen bleibt, wird der Hund das durch Husten, Speichel und Würgen anzeigen. Wenn der Hund sie dabei nicht herausbekommt, muss eingegriffen werden. Ansonsten dürfte sie den Weg aller Nahrungsreste gehen und wieder zum Vorschein kommen.
Auch interessant
Hallo Mein bruder hat gestern sein Eis nicht fertig gegesen und maya (unseren Hund) das Eis abschlecken lassen (war kein schokoladen haltiges eis nur wasser eis.) und sie hat den stiel verschuckt. Ist das schlimm? Kommt es ganz normal wider ''raus''? Was soll ich machen muss ich zum TA? Lg
Hallo, gestern Abend hat mein kleiner Yorkshire Welpe ( 14 wochen ) angefangen zu schreien. Wir sind gleich zur Tierklinik gefahren und haben sie untersuchen und röntgen lassen. Der Arzt hat festgestellt das sie irgendwas verschluckt hat und hat ihr Medikamente gegeben . Er meint wenn der Fremdkörper nicht bis in 2 Tagen draußen ist oder sie erbrechen muss, muss sie operiert werden.
Jetzt meine Frage hat euer Hund schon einmal was verschluckt ? Und was habt ihr getan ? Mache mir echt Sorgen um meine Kleine.
Hoffe auf Antwort
Mein Bruder hat eine Hunde und Katzenallergie,wenn wir uns eine Katze oder einen Hund besorgen würden welche Rasse wäre gut für Allergiker?
unser Hund hat gerade aus heiterem Himmel ein Foto aus dem Regal geklaut und gefressen. Besteht Gefahr in Form eines Darmverschlusses o.ä.? Oder ist Fotopapier sogar schädlich?
Herzlichen Dank im Voraus.
Es gab da mal so eine Fernsehserie aus USA auf dem Discovery-Channel die hieß: “Hilfe, was hat mein Hund gefressen?“
Wie der Titel schon vermuten lässt wurden dabei Geschichten erzählt von Hunden die alle möglichen Dinge verschluckt haben wie z.B. einen Wischmop mit Stiel, einen Tanga, einen Ring, Papiergeld, Steine, Tennisbälle, Stofftiere, Schnuller usw. Das war zwar oft dramatisch aber im Nachhinein erzählt, auch lustig.
Es waren auch mal eine Katze mit einer Nadel im Gaumen, einen Papagei der die Zähne eines Reißverschlusses verschluckt hat und eine Schildkröte die sich ein paar Schrauben schmecken ließ dabei.
Zu meiner Frage, habt Ihr auch mal so was erlebt? Habt Ihr auch so einen Hund der alles lecker findet? Oder kennt Ihr so einen Müllschlucker vor dem man nichts liegen lassen darf?
Ja hallo gerade haben wir einbisschen mit unserem ping pong ball gespielt dann ist er auf den boden gefallen und hüpfte etwas der hund war auch im raum dann konnten wir den ball nicht mehr finden und jetzt denken wir dass es ihn vielleicht aufessen konnte es ist ein boxer kann das sein dass er ihn innerhalb von 5 sekunden runter schlucken konnte was sollen wir jetzt machen er zeigt null anzeichen. Hilfe! danke im vorraus
Hallo ! Mein Hund hat soeben wilde Weinblätter gegessen und 20Minuten später mehrmals erbrochen. Weiß jemand, ob die für Hunde giftig sind? Lg
Hallo, wir haben folgendes Problem. Immer wenn er seinen Hals irgendwo gegendrückt beim Kämpfen oder beim Spielen verschluckt er sich danach, warum ist das so und was kann man dagegen tun ?
Wenn mein alter Hund trinkt, verschluckt er sich immer und er bekommt es in der Lunge. Neuerdings verschluckt er sich auch beim fressen. Woran liegt das und was kann ich tun?
Hallo, ich bin momentan total panisch! Ich habe mit meiner Labrador Hündin 7 Jahre alt gespielt. Wir haben das Kommando " Spring" genommen. Das sie halt springt. Ich habe statt Leckerlies Trockenfutter genommen. Da sie es gerne frisst, sie hatte total Spaß bis sie dann angefangen hat zu würgen ich habe mich total erschrocken und alles weggelegt und jetzt hat sie sich hingelegt und nicht nochmal gewürgt. Ist da jetzt wieder alles in Ordnung? :( Lg
Mein Hund hat eben von einer Aufstrichwurst die Spitze der Plastikhülle verschluckt. Ich gebe ihr die Hülle immer zum "Auslecken", nur diesmal ist nichts übrig geblieben.
Sollte ich zum Tierarzt gehen?
Hallöchen. Ich habe folgendes Problem. Wenn mein Hund sich übermäßig doll freut oder rennt und danach schnell zum Stehen kommt bekommt er keine Luft mehr! ;o Meistens allerdings, wenn er sich sehr freut, wenn ich oder meine Eltern/Freunde nach Hause kommen. Dann sacken ihm die Beine weg. Und all das. Wir vermuten, dass er seine eigene Zunge verschluckt. Ich weiß nicht wie ich ihm helfen soll und deswegen - das hört sich jetzt echt ekelig an (aber ich weiß sonst nicht, wie) - ein Finger in den Hals und hole seine Zunge wieder "raus".
Kennt das jemand von euch auch? Hilfe wäre echt super!
Hallo! Mein Berner-Sennenhund hat, wie ich vermute eine Pinnwandnadel gefressen. Er ist erst 5 Monate alt und sammelt alles auf was er findet. Ich habe die Vermutung das er eine Nadel gefressen hat weil etws von der Pinnwand abgefallen ist und ich die dazugehörige Nadel nicht finden kann. Ich hab ihm danach ein wenig in Wasser aufgeweichtes Futter gegeben, mit dem Gedanken das vielleicht die Nadel, falls sie sich im Magen befindet vom Futter umhüllt den weg nach draussen finden wird. Das ganze ist jetzt etwa eine halbe Stunde bis dreiviertel Stunde her. Bisher benimmt er sich wie immer, kein quieken oder sonst etwas. Hab was von Sauerkraut gelesen, was denkt Ihr dazu? So eine Pinnwandnadel ist ja recht spitz. Beim Tierarzt werde ich jetzt auch anrufen. Bin dankbar über Meinungen von Leuten die vielleicht ähnliche Situationen kennen und wissen was genau man selbst für den Hund tun kann.
Atemprobleme? / Verschlucken
Atemprobleme? / Verschlucken
Nun gab es jetzt aber schon insgesamt 6 mal einen Vorfall, der mir Sorgen bereitet, auch wenn 6x in vier Jahren nicht viel erscheint.
Ich bin dann immer total panisch und weiß nicht, was ich machen soll. Habe erst versucht sie zu beruhigen, wurde nicht besser. Habe ihr Maul dann mit Wasser gespült, wurde ebenfalls nicht besser sondern eher schlimmer, weil sie sich aufgeregt hat.
Habe sie dann nach draußen gelassen, dort ist sie sofort in den Garten gelaufen und hat angefangen, viel Gras und Kräuter zu fressen. Habe sie machen lassen weil ich dachte, sie weiß vielleicht am besten, wie es weggeht. Hat ca. 3 Minuten gedauert, dann war alles vorbei und Hund wieder beruhigt. Dieser ganze "Schluckauf" ging vielleicht 7 oder 8 Minuten.
Nach ca. 1 km Fahrt war aber alles vorbei und Hund wieder topfit.
Allerdings krieg ich auch immer mega Panik, wenn der Hund vor einem steht, das Herzchen schneller schlägt und man nicht weiß, was man machen soll.
Wie reagiert man in solchen Situationen am besten?
Marcella2005
Re: Atemprobleme? / Verschlucken
Ja, unser ehemaliger Yorkshire Terrier hatte das sehr oft - oder zumindest etwas Ähnliches, wie du es beschreibst. TAs meinten, dass es von der Beschreibung wie Asthma klingt. Bin mir aber nicht sicher, dass es das wirklich war, weil es dazu viel zu oft zu spontan und ohne Auslöser kam. Letztlich sind wir dann bei unserem Hund auf Geschirr statt Halsband umgestiegen. Das war so ziemlich das einzige, was wir machen sollten, solange er sich meist selber wieder "einbekommt".
Die Meinungen gehen auseinander von "Beruhigen" bis "Schimpfen", damit sich der Hund erschreckt. Ich bin mehr der Beruhigungs-Typ. Meine Mutter hat manchmal auch geschimpft. ht sogar geholfen, kann das aber trotzdem net.
Lange Rede, kurzer Sinn: auch wenn sich unser jetziger Hund mal verschluckt und diese Anfälle hat (sie ist aber ne Bulldogge --> kurze Nase --> hat das auch öfters mal), beruhige ich sie, sehe zu, dass sie frei sitzt bzw. sich gerade hinsetzen kann (wie beim Menschen auch, der will sich auch aufrichten, wenn er Atemnot hat) und warte ab.
Wenn du große Angst hast, lass mal den Brustkorb röntgen und sie abhören. Ansonsten kann ich nur sagen: das aben andere Hunde auch, mach dir nicht zu viiiiiele Sorgen, wenn der Tierarzt nichts finden sollte und sie sonst fit ist. Gerade wenn das nur aus der Ruhe heraus passiert, sollte das nicht vom Herzen zu kommen.
Re: Atemprobleme? / Verschlucken
Re: Atemprobleme? / Verschlucken
Re: Atemprobleme? / Verschlucken
Aber Grasfressen braucht Frieda dann nicht.
Re: Atemprobleme? / Verschlucken
Atemprobleme? / Verschlucken
Re: Atemprobleme? / Verschlucken
"PocoLoco" wrote:
Ohne jetzt 100% sicher zu sein, weil ein YouTube-Video nicht die beste Vergleichsmöglichkeit bietet: So ist das bei meiner Hündin auch!
Was ist denn Rückwärtsniesen, wo kommt es her und was kann man dagegen machen?
Комментариев нет:
Отправить комментарий